동향분석
Home > 뉴스브리핑센터 > 동향분석| [NRF 동향] 우리 몸을 감염시키는 병원체, 바이러스vs세균vs곰팡이 |
|
우리 몸을 감염시키는 병원체, 바이러스vs세균vs곰팡이 코로나바이러스감염증-19(Coronavirus disease 2019, COVID-19, 코로나19)의 범유행(pandemic)으로 감염성 질환에 관심도가 높아졌습니다. 우리 몸에 감염을 일으키는 병원체(pathogen)는 어떤 것들이 있을까요? 건강한 상태라고 할지라도 우리 몸에는 다양한 미생물들이 함께 살아가고 있습니다. 이렇게 다른 종이 함께 영향을 주고받으며 사는 것을 공생(symbiosis)이라고 하는데요. 그 중 한 쪽은 이득을 얻지만 상대에게는 해를 끼치는 관계를 특별히 기생(parasitism)이라고 합니다. 우리 몸에서 질병을 야기하는 병원성 세균, 곰팡이, 바이러스 등이 여기에 해당합니다. 엄밀히 바이러스는 생명체는 아니지만 우리 몸의 세포를 숙주로 삼아 대사와 증식에 이득을 취하며 세포 손상을 야기합니다. 그럼 지금부터는 우리 몸에 병변을 일으키고 심하면 죽음에 이르게 만드는 다양한 병원체들의 종류와 특징을 살펴보겠습니다. 바이러스 1) 바이러스의 구조와 특징 바이러스는 스스로 증식할 수 없으며 숙주 세포에서만 증식할 수 있는 능력을 가지고 있습니다. 바이러스의 구조는 핵산(DNA 또는 RNA)와 그것을 싸고 있는 단백질 구조물인 캡시드(capsid)로 이루어집니다. 또한 몇몇 바이러스는 캡시드의 바깥 부분을 숙주 세포의 세포막에서 유래한 외피(envelope)로 둘러싸고 있기도 합니다. 바이러스의 생물학적 분류는 핵산이 DNA로 되어 있는지 RNA로 되어 있는지, 외가닥인지 이중 가닥인지 등에 따라 나누어집니다. 하지만 편의상 캡시드의 모양이나 어떤 생물체를 숙주로 삼는지에 따라 나누기도 합니다.
다양한 바이러스의 구조 사진 출처: The Genetics of Viruses and Bacteria 2) 동물 바이러스 증식 메커니즘 바이러스는 증식하는 방법이 굉장히 다양하다고 알려져 있습니다. 그중에서 동물에 감염을 일으키는 바이러스는 RNA를 가지면서 외피가 있는 경우가 많습니다. 2019년 중국 우한시에서 보고되고 세계적으로 범유행하게 된 코로나바이러스감염증-19의 원인 바이러스, SARS-CoV-2 역시 단일 가닥의 RNA 바이러스이며 외피를 가지고 있습니다. 바이러스의 외피에는 당단백질들을 가지고 있는데요. 이것이 숙주의 세포막에 수용체와 구조적으로 결합하는 것을 일종의 신호로 바이러스 외피와 숙주의 세포막이 융합되면서 바이러스 속에 있던 캡시드와 유전체가 숙주 세포 속으로 들어가게 됩니다. 숙주세포에 유입된 캡시드는 단백질로 되어 있어 숙주세포 내에서 분해될 수 있습니다. 이렇게 되면 숙주세포는 노출된 바이러스의 핵산을 주형으로 바이러스의 생존과 증식에 필요한 단백질들을 합성해 주게 됩니다. 캡시드 단백질, 외피의 당단백질, 핵산 등 새로운 바이러스에 필요한 부속품들이 모두 준비되면 다시 캡시드 껍데기로 조립되고 숙주 세포막의 일부를 자신의 외피로 사용하여 독립된 바이러스들로 떨어져 나올 수 있습니다.
외피가 있는 RNA 바이러스 증식회로 사진 출처: The Genetics of Viruses and Bacteria 3) 신종 바이러스 그렇다면 신종 바이러스는 어떻게 출연하는 걸까요? 첫째, 바이러스는 돌연변이 발생률이 굉장히 높습니다. RNA 중합 효소의 교정 기능이 없기 때문입니다. 둘째, 격리된 지역에 있던 바이러스가 해외여행의 확산, 정맥 주사 등 사회적 요인에 의해 세계적으로 확산이 되는 경우가 있습니다. 셋째, 사람에게는 감염이 안되던 바이러스가 사람에게 감염이 되는 경우입니다. 학계에서는 이에 대해 어떤 동물의 한 개체에 여러 바이러스가 한 번에 감염이 되었는데 서로 다른 바이러스의 유전체 사이에 유전자 재조합이 일어나 사람에게 감염할 수 있는 능력을 획득하는 경우가 발생할 수 있는 것으로 생각하고 있습니다. 2009년 유행하여 ‘돼지 독감’ 이라는 별명으로 불렸던 독감의 H1N1 바이러스 유전체에는 새, 돼지 및 사람의 독감 바이러스 서열이 섞여 있었다고 합니다. 또한 이번 COVID-19의 원인 바이러스 SARS-CoV-2를 RNA 서열 분석 한 결과 박쥐의 코로나 바이러스와 원인 불명의 바이러스가 재조합된 바이러스라고 보고한 연구도 있었습니다. 4) 바이러스성 질병과 백신 개발 바이러스 감염은 바이러스를 구성하는 단백질 자체에서 독성을 띄기도 하며 세포에 유해한 역할을 하는 효소를 방출하게 만들어 세포 손상을 일으키기도 합니다. 따라서 바이러스성 질병을 이겨내는 방법은 인체 내에서 손상된 세포를 재생시키는 능력과 밀접한 관련이 있습니다. 우리는 바이러스를 예방하기 위한 백신과 바이러스에 감염된 후 치료를 위한 항바이러스제를 구분해서 이해해야 합니다. 백신은 바이러스의 병원체에서 유래한 독성이 없거나 매우 적은 유사 물질을 넣어 주어 실제 바이러스가 들어오기 전에 대비를 하도록 만들어 주는 것입니다. 우리 몸의 면역체계는 첫 공격에는 크게 반응을 못하지만, 두 번째 동일한 감염원이 들어오게 되면 빠르고 폭발적으로 방어기작을 작동시켜 제압하는 특징이 있습니다. 항바이러스제는 이미 바이러스에 감염된 이후 치료를 위한 약물을 말합니다. 바이러스는 여러 바이러스를 저해할 수 있는 즉, 범용적으로 사용되는 약은 아직까지 없어, 바이러스에 따라 치료 약물이 개발되어야 합니다. 바이러스의 증식하는 방법이나 구조에 따라 적합한 항바이러스가 바이러스가 유행할 때마다 개발되고 있습니다. 많은 경우 핵산을 합성하는 과정을 억제하는 항바이러스제가 개발되고 있다고 합니다. 예를 들면, 에이즈 치료에 사용되는 아지도티미딘(Azidothymidine, AZT)는 HIV 바이러스의 핵산 합성에 관여하는 효소를 억제하는 약물입니다. 세균 1) 세균의 구조 및 특징 세균은 원핵생물로 막성 소기관이 없으며 세포벽을 가지고 있습니다. 세균의 세포벽은 대부분 펩티도글리칸을 가지고 있는데, 펩티도글리칸이 많으면 그람양성균(gram-positive bacteria), 펩티도글리칸이 적으면 그람음성균(gram-negative bacteria)이라 부릅니다. 일부 세균은 감염에 유리한 부속지를 가지고 있습니다. 임질균은 털과 같은 핌브리아(fimbria)를 이용해서 숙주의 점막에 자신의 세포를 고정시킵니다.
그람양성균과 그람음성균의 세포벽 차이 사진 출처: Immunology & Microbiology from TECHNOLOGY NETWORK 2) 병원성 세균과 독소 세균은 우리 몸에서 모두 병원체로 작용하는 것은 아닙니다. 우리 몸에는 다른 유해균과 경쟁하여 숙주와 공동 이익을 갖는 세균들도 많이 있습니다. 상리공생 세균의 하나인 Bacteroides thetaiotaomicron의 경우 탄수화물, 비타민 등 우리 몸에 유익한 물질을 합성하는 데 필요한 여러 유전자들을 가지고 있습니다. 대부분의 병원성 세균에 의한 질병은 세균 생존에 의해서 라기보다는 세균의 독소에 노출됨으로써 질병에 걸리게 됩니다. 세균의 독소는 외독소와 내독소로 나뉩니다. 외독소는 세균의 분비 단백질이며, 내독소는 세포의 외막을 구성하는 지질다당체가 해당됩니다. 세균이 이미 사멸했지만 세균이 분비했던 외독소가 남아있는 경우 외독소에 의해 질병이 발생할 수 있습니다. 또한 내독소의 경우는 세균이 죽은 뒤 세포벽이 분해되어 방출됩니다. 외독소를 분비하는 세균에는 콜레라를 일으키는 콜레라균(Vibrio cholerae), 식중독을 일으키는 보툴리누스균(Clastridium botulinum)이 있습니다. 반면에 장티푸스를 일으키는 장티푸스균(Salmonella typhi)은 내독소를 갖는 세균입니다. 3) 세균성 질환과 항생제 바이러스와 달리 세균은 공통적인 특징을 이용해서 범용적으로 사용할 수 있는 항생제가 개발되어 있습니다. 페니실린 계열의 항생제는 세포벽의 펩티도글리칸 구조 합성에 관여하는 효소 penicillin-binding protein와 결합하여 그 활성을 저해함으로써 세포벽을 터뜨려 세균을 죽입니다. 이는 특히, 두꺼운 펩티도글리칸 층을 가지고 있는 그람양성균에 효과적이며, 사람의 세포는 세포벽구조가 없기 때문에 세균만 선택적으로 죽이는 것이 가능합니다. 세포벽 합성 저해를 목적으로 하는 항생제 다음으로 많이 쓰이는 항생제들은 단백질 합성을 억제하는 항생제들입니다. 이에는 tetracycline, aminoglycoside, licosamide 등이 있습니다. 이 항생제들은 구체적으로는 서로 다른 작용 기전을 따르기는 하지만 세포에서 단백질을 합성하는 중요한 소기관인 리보솜(ribosome)에 달라붙어 기능을 방해함으로써 항균작용을 갖습니다. 단백질 합성을 억제하는 항생제들도 우리 인체 세포에는 작용하지 않는데요. 그 이유는 세균과 사람의 리보솜은 다른 크기의 복합체로 구성이 되어 있기 때문입니다. 그 밖에 항생제로는 세균의 엽산 합성을 억제하는 항생제, 핵산 억제 항생제 등이 있습니다. 기타 병원체 우리 몸에 감염을 일으키는 대부분은 바이러스와 세균입니다. 그 밖에는 진핵생물이면서 감염을 일으키는 곰팡이, 바이러스보다 더 간단한 구조인 프리온 등이 있습니다. 곰팡이의 번식은 미세 포자를 이용하며, 인체의 감염은 대부분 폐 또는 피부에서 서서히 시작합니다. 곰팡이 감염에 의한 대표적인 질환으로는 칸디다증, 모균증 등이 있습니다. 곰팡이 감염 질환은 기저 질환 등을 이유로 면역력이 저하된 경우에는 치명적일 수 있지만 정상적인 면역체계를 가진 성인에서는 대체로 큰 문제를 일으키지 않는다고 합니다. 또한 우리 몸에 살고 있는 세균 중 일부는 칸디다와 같은 유해한 진균의 감염을 저해하는 역할을 하는데 항생제 복용으로 이러한 유익한 세균까지 많이 죽게 되는 경우 곰팡이가 증상을 일으킬 수 있습니다.
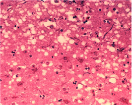
프리온에 의한 질병은 병변 조직에 스펀지처럼 구멍이 뚫린 듯한 모습이 관찰된다. 사진 출처: WIKIPEDIA 프리온(prion)은 단백질(protein)과 바이러스 입자(virion)의 합성어로 바이러스는 핵산과 단백질로 이루어졌지만 프리온은 단백질만으로 이루어져 있어 붙여진 이름입니다. 프리온에 의한 질병은 변형 프리온이 사람이나 동물에 축적되어 발생하게 됩니다. 아콥병(Creutzfeldt-Jakob disease)은 이와 같은 변형 프리온에 의한 질환으로 해면성 뇌병증에 감염된 소고기를 먹으면 발병할 수 있다는 것이 알려져 있습니다. 프리온에 의한 질병은 뇌와 같이 중추신경계에만 발생하며 병변 부위에 구멍이 뚫려 스펀지 같은 모양을 보이는 것이 특징입니다. 또한 다른 감염성 질환과 달리 특이적인 염증 반응이 일으키지 않습니다. 프리온에 의한 질병은 길게는 수년까지 잠복기를 가지고 있지만 한 번 발병하면 100% 사망에 이른다고 합니다. 안타깝게도 아직까지 변형 프리온이 생기는 과정에 대해 명확히 규명되어 있지 않으며 백신과 치료법 또한 아직 개발되어 있지 않습니다. 지금까지 우리 몸에 감염을 일으키는 병원체에 대해 정리해 봤습니다. 병원성 바이러스, 세균, 곰팡이는 우리 몸에 유해하여 질병을 야기한다는 공통점을 가지고 있지만 병을 일으키는 원인도 증식 방법도 치료법도 모두 다릅니다. 이 글을 통해 다양한 병원체로 인한 감염성 질환들을 이해하는데 조금이나마 도움이 되셨길 바랍니다. References 1. Neil A. Campbell, Jane B. Reece, Lisa A. Urry et al., 2016, 캠벨 생명과학, 10판 2. 의협신문 https://bit.ly/2KBsi1J 3. Merck Sharp & Dohme Corp https://msdmnls.co/2Sa9BWK 4. 위키피디아 https://bit.ly/2VWQYa2
|












