동향분석
Home > 뉴스브리핑센터 > 동향분석| 살균·소독제, 폐 질환 예방 위해 바로 알고 바로 사용해야 (경희대학교 동서의학연구소 박은정 교수) |
|
살균·소독제, 폐 질환 예방 위해 바로 알고 바로 사용해야
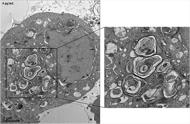
동서의학연구소 박은정 교수가 코로나19로 사용이 급증한 살균·소독제에 호흡기가 노출되면 폐 질환을 유발할 수 있다는 연구 결과를 발표했다. 사진은 탈이온수에 분산된 DDAC의 전자 현미경 사진. 동서의학연구소 박은정 교수, 코로나19로 사용 증가한 살균·소독제 사용 위험성 규명 연구 관련 논문 <Toxicology and Applied Pharmacology> 온라인판 게재 동서의학연구소 박은정 교수가 코로나19 팬데믹으로 사용이 급증하고 있는 살균·소독제의 호흡기 노출이 폐 질환을 유발할 가능성이 있다는 연구 결과를 발표했다. 이번 연구에서 박은정 교수는 ‘염화디데실디메틸암모늄(Didecyldimethylammonium chloride, DDAC)’에 지속적으로 노출될 경우 체내 축적 및 폐질환 유도 가능성을 배제할 수 없고, 이를 위한 추가 연구가 필요하다고 강조했다. 관련 연구 결과는 지난 8월 14일(금) ‘라멜라 구조의 형성이 염화디데실디메틸암모늄으로 인한 독성 반응 개시인자일 것이다(Formation of lamellar body-like structure may be an initiator of didecyldimethylammonium chloride-induced toxic response)’라는 제목의 논문으로 SCI급 저널인 <Toxicology and Applied Pharmacology>의 온라인판에 게재됐다. 살균제 성분 중 DDAC 관련 연구 진행, 관련 위험성 연구 거의 전무해 박은정 교수는 그간 가습기 살균제 사건과 관련된 물질에 관한 연구를 계속해왔다. DDAC는 세균이나 바이러스와 같은 미생물 확산 차단을 위해 사용하는 물질로, 미국 환경청에 등록된 4가 암모늄 계열 살균·소독제이다. 목재나 건축 용품, 물탱크 같은 산업용 물품과 가습기나 세탁기 같은 주거용 제품의 방부제나 소독제, 항생제로 많이 사용된다. 그동안 호흡기 노출과 관련된 연구 결과가 거의 전무한 성분으로 박 교수는 이에 대한 위험성 판단을 위해 연구를 진행했다. DDAC는 지난 2006년 이후 우리나라에서 발생한 가습기 살균제 사건의 주요 성분 중 하나로 박 교수는 2016년부터 이 사건과 관련된 물질을 연구했다. 이번 연구에서는 인간기관지 상피 세포(BEAS-2B)와 실험용 쥐를 사용해 폐 질환 유도 가능성과 그 독성 기전을 연구했다. 연구 결과 DDAC는 4μg/mL 농도에서 세포 생존율을 급격하게 감소시켰고, 세포 내 소기관 손상과 함께 세포 자살과 세포막 손상을 유도했다. 기관지를 통해 500μg의 DDAC를 1회 직접 투여한 쥐는 투여 후 14일까지 정상적으로 생존했으나, 2회 투여한 쥐에서는 만성 섬유성 폐 병변이 현저하게 관찰됐고, 궁극적으로 사망을 초래했다. 더불어 DDAC에 노출된 세포와 쥐에서는 라멜라 구조체(Lamellar Bodies)가 형성됐고, 이온을 함유하는 용액 내에서는 그 구조가 뚜렷하게 변화됐다. 라멜라 구조는 지질 이중층으로 만들어진 막이 겹겹이 쌓인 구조를 말하는데, 이 구조는 소량의 물을 포함하면 인지질 중 가장 안정된 구조를 나타낸다. 결국 라멜라 구조체의 형성은 DDAC의 체내 축적 가능성을 높이는 결과를 가져올 수 있음을 의미하며, 이는 DDAC가 호흡기를 통해 반복적으로 노출되면 폐 질환을 유도할 수 있음을 의미한다. 박 교수는 이번 연구 결과 발표에 고심을 거듭했다. 연구는 가습기 살균제 연구의 연속선상에서 기획했다. 하지만 코로나19의 확산으로 살균·소독제 사용이 폭발적으로 증가하던 시점에 결과가 나왔다. 코로나19의 창궐로 살균·소독제 사용이 늘며 때때로 ‘무독성’을 표시한 제품도 출시됐다. 박 교수는 제품 출시 속도가 너무 빨라 제품의 판매 승인 과정에서 제품을 사용하는 소비자에게 일어날 수 있는 다양한 노출 시나리오에 맞는 안전성 평가가 이뤄졌을지 의구심을 품었다. 그러나 박 교수는 “감염 차단과 치료제, 백신 개발이 우선인 상황이고, 코로나19의 전파 속도를 고려할 때 살균 소독제의 위험성을 제시해 사회적 혼란을 야기하기보다는 적절한 시기를 기다리는 것이 좋을 것 같았다”라며 연구 결과 발표 시기를 조정한 사정을 밝혔다.
박은정 교수는 “감염 차단과 치료제, 백신 개발이 우선인 상황이고, 코로나19의 전파 속도를 고려할 때 살균 소독제의 위험성을 제시해 사회적 혼란을 야기하기보다는 적절한 시기를 기다리는 것이 좋을 것 같았다”라며 연구 결과 발표 시기를 조정한 사정을 밝혔다. 사진은 사람의 기관지 상피세포에서 발생된 라멜라 구조. 생활에서 많이 쓰이는 ‘계면활성제’에 집중, “가습기 살균제 사건 교훈 잊지 말아야” 박 교수는 최근 ‘계면활성제’ 연구에 집중하고 있다. 계면활성제는 액체 간, 기체와 액체, 고체와 액체 사이에서 표면 장력을 낮추는 화합물이다. 주방·세탁 세제는 물론 식품과 화장품의 유화제, 보습제로도 활용되고 제초제, 살충제, 살균제, 세정제, 샴푸, 샤워 젤, 헤어 컨디셔너 및 치약 등 우리 생활의 전반에 사용된다. 계면활성제는 토양이나 물에 축적돼 미래환경에 영향을 줄 수 있는 성분 중 하나이기도 하다. 2014년 기준으로 세계의 관련 시장 규모는 330억 달러(29조 7,320억 원)를 넘어섰다. 코로나19 확산으로 그 시장이 더 확대될 것으로 추정되는 상황이다. 박 교수는 “매우 조심스럽지만 ‘가습기 살균제 사건’에서 얻은 교훈을 잊으면 안 된다”라고 말한다. 가습기 살균제의 대표적 성분인 폴리헥사메틸구아니딘(Polyhexamethylene guanidine, PHMG)은 러시아에서 세정제로 개발된 성분이다. 우리나라에서는 수입과정에서 세계 최초이자 마지막으로 첨가제로 승인받았다. 세정제는 헹궈서 버려지기에 호흡기에 직접 유입될 확률이 매우 낮지만, 첨가제는 가습기 물탱크에 있는 물과 함께 에어로졸 상태로 우리 호흡기로 직접 유입돼 폐 내 계면활성제 농도의 항상성을 손상할 수 있다. 항상성이 파괴되면 폐를 구성하는 세포 막의 장력이 깨져 세포 손상이 일어나고, 손상된 세포를 제거하기 위해 체내에 있는 다양한 면역세포가 손상 부위로 몰려들어 손상 부위 치유에 관여하게 된다. 이 과정에서 특발성 폐섬유증과 폐 내 면역기능의 손상이 유도될 수 있다는 연구 결과도 계속해서 발표되고 있다. 이렇게 면역기능이 손상되면 호흡기를 통해 유입된 외부의 이물질을 인지하고 제거하는 과정에서 정상적인 기능을 발휘하기 어렵다. 살균·소독제를 과다 사용하거나 잘못 사용하는 상황에 장기간 노출되면 결과적으로 외부 이물질에 대한 인간의 방어능력이 손상된다. 이는 바이러스와 벌이는 전쟁에서 발생하는 악순환의 첫 단계가 될 수 있다.
박은정 교수는 살균·소독제 사용에 주의가 필요함을 강조하며, 슬기로운 살균·소독제 사용법을 제안했다. 공기 중에 살포하지 않고, 환기되는 상태에서 사용해야 하며 여러 종류를 섞지 말아야 한다는 내용이다. 코로나19에 대응하는 현명한 살균·소독제 사용 방법 제안 박 교수는 이번 연구 결과와 함께 슬기로운 살균·소독제 사용법을 몇 가지 제안했다. 첫 번째는 살균·소독제는 공기 중에 뿌리지 말아야 한다. 두 번째는 밀폐된 공간에서 사용하는 것을 자제하며 반드시 환기되는 상태에서 사용해야 한다. 특히 염소계열의 소독제는 증발하는 과정에서 인체에 유해한 산 가스를 발생시키기 때문에 반드시 사용 후 환기해야 한다. 세 번째, 자주 물로 손과 입, 코 주변을 닦고, 물로 닦을 수 없는 시기에는 손 소독제를 사용해야 하지만 절대 입이나 코, 눈 등을 만지지 말아야 한다. 넷째는 살균·소독제를 혼합해서 사용하지 말아야 한다. 계면활성제의 기능은 임계미셀농도(critical micelle concentration, 미셀이 형성되는 농도)에서 개시되고 그 반응의 크기도 거의 최대에 이르는 것으로 관측된다. 이 농도는 온도, 습도, 이온 존재 여부 등 다양한 조건에 따라 변화될 수 있다. 인체에 대한 유해성 또한 이 임계미셀농도와 밀접한 연관성을 갖는 것으로 추정되기 때문에 만약 두 가지 이상의 살균·소독제를 사용하는 경우 혼합하지 말고 번갈아 가며 사용해야 한다. 다섯째는 제품 설명서에 기록된 사용법을 반드시 지켜야 한다. 용량을 더 넣는다고 효과가 증가하는 것은 아니다. 박 교수는 코로나19 치료를 위해 선별진료소에서 근무하는 의료진과 소독 진행 인력을 위한 조언도 잊지 않았다. 누구보다 노출이 심한 직군임을 고려할 때 철저한 개인 보호장구 착용과 함께 충분한 휴식을 통해 폐 자정 능력이 유지될 수 있도록 지원하는 경제적, 행정적 조치가 필요하다는 주장이다. 박 교수는 “이번 연구는 두뇌전보다 심리전을 하는 것 같았다”라고 말한다. 연구 주제가 워낙 민감하다 보니 주변의 도움보다 경계가 많아 예상하지 못한 결과가 도출됐을 때 다양한 분야의 연구진과 함께 결과를 해석하고 검증하는 과정을 거치며 실험을 반복해야 했기 때문이다. 박 교수는 녹록지 않은 연구 조건이지만 “이웃의 행복에 기여할 수 있는 연구를 하겠다는 약속을 지키기 위해 연구를 계속해나갈 것”이라고 말했다. 글 정민재 ddubi17@khu.ac.kr 사진 이춘한 choons@khu.ac.kr ⓒ 경희대학교 커뮤니케이션센터 communication@khu.ac.kr 출처: https://www.khu.ac.kr/kor/focus/detail.do?preview=1&seq=2141651 |










